h i r d e t é s

Sípcsonttörés a pályán

ÜZENETEK (16)Időben csökkenő Időben csökkenő
Kanyarsíklub Replaci
1224 élménybeszámolót írt
1224
21 éve tag
2015.06.05. 06:16
Szia Diuska78!

Szabad arról kérdezni, hogy hogyan történt a baleset? Mi volt az oka, így utólag belegondolva, el lehetett volna kerülni?

Azért kérdezem, mert tanulságos lehet.

Állhatatosságot kívánok és javasolok, síbarátsággal:
Replaci
Előzmény: (Diuska78 182881)
csabor
3483 élménybeszámolót írt
3483
16 éve tag
2015.06.04. 15:57
A vágyaid sorrendje teljesen természetes.
Elkeseredni viszont nem kell, lesz ez jobb is, s lehet bőven szélesíteni a vágyak körét. Csak nyugalom kell, s az, hogy bizakodj a gyógyulásban.
Előzmény: (Diuska78 183050)
Diuska78
3 élménybeszámolót írt
3
10 éve tag
2015.06.03. 22:12
Most 12 hétnél tartok ( műtét után).A hajlitas 70 fok jelenleg,20 kilóval terhelhetem csak,mivel a beültetett csont mèg nem èpült át.Nehezen viselem.Lasdan megy az idő és én mèg mindíg 2 mankóval járok.A combom mèg sorvadt,pedig heti 4x gyogytornázok meg erősírgetem amennyire lehet.Nem vágyok már sportra csak sétára a gyerekemmel :(
h i r d e t é s
tomi.on.ice
11 élménybeszámolót írt
11
19 éve tag
2015.04.23. 00:07
Tudom, hogy az első komolyabb sérülésnél nehéz, talán lehetetlen is, de próbálj meg nem kétségbe esni! A tapasztalat azt mutatja, hogy nagyon szépen fel lehet épülni a legrondább sérülésekből is. A lehető legpozitívabban kell hozzáállnod és szorgalmasan gyógytornáznod. Képes vagy regenerálódni és újra felépíteni, megerősíteni az izmokat, szalagokat!

Tudom mit élsz át, én 17 évesen feküdtem először a lábgéppel az ágyban egy elég komplex sérülés után és azt sem tudtam elképzelni, hogy egyáltalán járni tudok majd, ma meg boardozok, korizok...oké, nem olyan, mint a gyári, de működik!

Bizonyos sérüléseknél muszáj egy adott mozgástartományon belül rögzíteni az ízületet. Egy ideig nem is terhelheted és általában ilyenkor szembesül először az ember a ténnyel, hogy milyen gyorsan el tudnak sorvadni az izmok, megrövidülni az inak, ha nem használjuk őket. Félelmetes, hogy mennyire lassan lehet felépíteni a gyorsan elsorvadó izmokat, de hidd el, hogy ha nem hanyagolod el a rehabot, akkor szépen fel fogsz épülni! ;)

A hajlítás képessége is nagyon lassan fog visszatérni, jól meg fog kínozni a gyógytornász, aztán majd te saját magadat, hogy menjen...de a lényeg, hogy menni fog! A kezdeti cammogást fel fogja váltani a rohamos javulás, meglátod. :)

Fel a fejjel! ;)
Előzmény: (Diuska78 182881)
minerel
3738 élménybeszámolót írt
3738
19 éve tag
2015.04.22. 09:26
Szerencsére ennyire nem zúztam le anno a térdemet de a kereszt és oldalszalagjaim megszaggatása után én is hasonlóan küzdöttem a lábhajlító géppel.
Egy ideig szépen fejlődött aztán szerintem nekem is kb 45 foknál megrekedt. Már befeszítettem a testem, hogy akkor is hajlítsa meg a gép de inkább kiemelt engem, minthogy a térdemet hajlította volna tovább.
Az áttörés a rögzítő csavarjainak eltávolítása után kezdődött amikor a nem merev rögzítővel elkezdhettem sétálni. Onnantól rohamosan javult és tökéletesen rendbe jött.
Jobbulást!
Előzmény: (Diuska78 182881)
gradinar
14 élménybeszámolót írt
14
13 éve tag
2015.04.21. 18:52
Ezen a téren - szerencsére - tapasztalatlan vagyok, de őket esetleg érdemes felkeresned, ha Budapesten vagy a közelben élsz:
https://www.sportrehabilitacio.hu
Jobbulást,
G.
Előzmény: (Diuska78 182881)
Diuska78
3 élménybeszámolót írt
3
10 éve tag
2015.04.20. 23:30
Most hogy vagy?
Előzmény: (Zsuy 63844)
Diuska78
3 élménybeszámolót írt
3
10 éve tag
2015.04.20. 23:28
Nekem iden márciusban eltörött a sípcsontom condylusa,a porc es az összes szalag.Izületbe hatoló törés
A keresztszalagot eltávolították,az oldalsókat varrták.A sípcsont izületi végét csontbankból vett csonttal rekonstruálták és oldalról lemezzel rögzítették.6 hete brace rögzítővel járok.Még nem terhelhetem.Viszont hajlítanom kellene,de nem megy.Gyógytornász segítségével próbálom de 45 foknál jobban nem tudom.Nagyon el vagyok keseredve.A gyógytornász szerint idővel menni fog.Ki kell nyújtani a szalagokat.Én most úgy érzem nem megy.Az izmaim jócskán elsorvadtak.Lesz ebből valaha járás?Tudtok nekem tapadztalatokat mondani?
Zsuy
55 élménybeszámolót írt
55
20 éve tag
2009.02.02. 13:22
Nekem is izületbe hatoló törés volt, mivel a sípcsont felső része hasadt és elmozdult a helyéről.A törés vége roncsolt amit tudott. A szalagok nem elszakadtak,hanem kiszakadtak a helyükről...(állítólag így jobban jártam, mintha szakadtak volna(?) ) Hazajöttem, itthon műtöttek. Tokától-bokáig begipszeltek a szokásos ideig. Amikor levették a gipszet, úgy jártam mint Renrol. Egyszerűen nem tudtam behajlítani a lábam. Fokról, fokra haladtunk előre. Nagy kínlódás volt. A mai napig nem tökéletes. Neked ezzel nincs gond? A csavarokat, és a támasztólemezt a jövő hónapban veszik ki. Úgy tudom, hogy általában egy évig maradnak benn. Neked is letelt az egy év. Kiveszik?
zsuy kukac citromail pont hu Írj egy mélt, megírom ki, és hol csinálta.
huligan
3493 élménybeszámolót írt
3493
19 éve tag
2009.01.29. 21:39
Sziasztok!

Az alábbi kép balesete ugyan nem a pályán történt, hanem egy közlekedési balesetben, azóta srác teljesen felépült, és újra tökéletesen síel...

Kitartást és gyógyulást mindenkinek!
68407289fa894adbcafaea09743a5d7c.jpg
Zsuy
55 élménybeszámolót írt
55
20 éve tag
2009.01.29. 20:52
Egy pár csavar eltéréssel, akár lehetne az én lábam is...
Bár az idei síszezonban már 2x5 napot voltam sípályán, lécre nem álltam. Talán jövőre!(?) A csavarok kivétele még hátra van.Te, hogy vagy most?


Képek  1 (2).jpg  55 KB  letöltve 2708 alkalommal
Renrol
7 élménybeszámolót írt
7
17 éve tag
2009.01.29. 17:22
Mielőbbi gyógyulást,Neked! Csunyán összetörted Magad!Pár éve volt nekem is sibalesetem,haránt és kereszt-szalag szakadás a jobb térdemben.Lifegett a lábam előre-hátra,már amig be nem dagadt,mint egy elefánt láb...A Brezno-i kórházban (szlovákia) megröntgenezték,azt mondták ..csak "húzódás",aztán itthon AZONNAL megműtöttek.Utánna 8 hét gipsz combtőtől bokáig.Gipsz után a térd teljesen merev.. és ha egy kicsit is behajlitod...mondjuk megbotlasz,...na az a földi pokol.. Torna,torna és torna... tiszszer annyi,mint amit előirnak! Javaslom Neked is,mert csak igy hozhatod magad ismét formába!
Engem áprilisban operáltak, és azon év decemberében ujra sieltem,ugyhogy ne add fel és mielőbbi jobbulást!
Krampusz
372 élménybeszámolót írt
372
18 éve tag
2009.01.29. 07:07
Remélem ez a csúnya sérülés nem tántorított el a síeléstől. Szerintem jobban jártál a töréssel, mint egy keresztszalag szakadással. Bár a felvételeket nézve, raktak be bőven "vasat".
Nekem nem síelésből adódó sport balesetem volt. 17 évesen törtem a lábfejben az egyik csontot. Rá néhány évre észre vettem, hogy ha fáj a törés helye, akkor jön a hideg front. Mondhat bármit a meteorológus:)
maci-laci
3532 élménybeszámolót írt
3532
20 éve tag
2009.01.29. 06:59
Sípcsont törésről nem tudok beszámolni de combcsont törésről igen.Az sem piskóta az ellenségemnek sem kívánom.
gyf
571 élménybeszámolót írt
571
19 éve tag
2009.01.29. 00:33
Basszus! Ez hogy történt?
Jobbulást!

F
ljudit
8 élménybeszámolót írt
8
22 éve tag
2009.01.28. 23:44
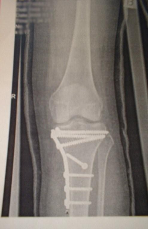
Sziasztok!
Szeretnék olyan síelőkkel beszélgetni, akik hasonló balesetet éltek át.
25-03-08-1101.jpg
25-03-08-1102.jpg
h i r d e t é s
h i r d e t é s
h i r d e t é s
Havazás Előrejelzés
INGYENES TANÁCSADÁS
KIEMELT SÍTÁBOROK
KIEMELT SZÁLLÁSAKCIÓK
UTASBIZTOSÍTÁS 10% KEDVEZMÉNNYEL
SZAKÜZLET AJÁNLATOK
KIEMELT APRÓHIRDETÉSEK
FELIRATKOZOM A HÍRLEVÉLRE